来源:民生网2026-03-16 17:13:57

“医生除了看病、做手术,还在做什么?”在很多人印象里,医者身影总定格于门诊与手术室。而在科技创新浪潮下,医者角色正突破传统边界——他们深耕临床、传帮带教,更将临床痛点难点,转化为惠及患者的新器械、新技术、新方案,这便是医工转化。
医工转化,一头连着临床实践,一头系着科技创新。2026年是“十五五”规划开局之年,由《民生周刊》、人民康养发起,首科医谷学术支持的《大国医工》节目于2026年2月28日上线,记录医学创新故事,锚定科技创新的民生导向,让优质医疗成果更好、更公平地惠及全体人民。
“全国骨科看北京,北京骨科看积水潭。”作为国家骨科医学中心,首都医科大学附属北京积水潭医院不仅是骨科患者的希望所在,更在骨科医工转化新赛道上领跑全国。本期《大国医工》对话北京积水潭医院院长、国家骨科医学中心主任蒋协远,首次深度解读“医工企”合作模式,为骨科防治贡献新技术、新方案。
上图:北京积水潭医院院长蒋协远(右)、人民康养记者李贤娜(左)
骨科治疗:从“大刀阔斧”转向“精雕细琢”的新时代
人民康养:蒋院长,您已从业四十年。在您记忆里,几十年前的骨科手术和现在比,变化有多大?
蒋协远:过去几十年,骨创伤治疗经历了从“大刀阔斧”到“精雕细琢”的根本性转变。
几十年前,骨科治疗主要依赖医生经验,手术切口也往往很大。尤其面对复杂的粉碎性骨折,就像在没有详细图纸的情况下进行重建工程。这类手术不仅创伤大、出血多、时间长,术后恢复也很漫长,而且,修复后的骨骼、关节功能也容易受影响,骨折愈合效果不理想,很多患者甚至还会出现骨折不愈合的情况。
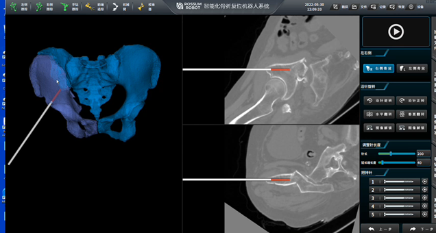
如今,治疗已进入精准化和微创化的时代。这背后是影像技术、材料科学和工程技术的融合推动。
上图:CT三维重建技术
上图:CT三维重建技术
比如,现在我们普遍采用CT三维重建技术。手术前,我们就能在电脑上清晰地看到骨折的“立体地图”,进行虚拟手术规划;手术中,则借助“透视眼”一样的导航系统,让医生在屏幕上实时看到器械在骨骼内的精确位置。对于骨盆、脊柱等部位的复杂骨折,这些技术成为了安全手术的基石。
更值得一提的是,微创理念已深入人心。我们通过几个小切口,在特殊透视机和导航引导下,置入螺钉和钢板进行固定,大大减少了对患者正常肌肉和软组织的损伤。这意味着术后疼痛更轻、康复更快、感染风险更低。
这些不断演进的技术,最终目标就是让患者以最小的代价,获得最优的骨骼愈合和功能恢复。
坚持临床驱动原则:解决“临床需求与产业化脱节”痛点
人民康养:积水潭医院在鼓励、推动“医工融合”上,有哪些机制方面的探索和创新?
蒋协远:在医工转化领域,我们的一个原则就是立足临床需求,驱动科技创新。我们也希望通过技术革新,来推动产业升级。
2020年,我院成为科技部首批《赋予科研人员职务科技成果所有权或长期使用权试点单位名单》之一,也是北京市唯一的医疗机构试点单位。经过制度体系、审批程序和工作流程的创新实践,顺利完成北京市首例赋权案例,为赋权改革提供了可复制、可推广的经验和做法。
2024年4月,我院再次入选,成为北京市医学创新和成果转化改革第二批试点单位。我们将医工深度融合的创新成果作为试点项目,持续探索科技成果转化的新路径与新模式。
此外,我院还在科技成果先使用后付费、专利开放许可等方面先行先试,围绕制约科技成果转化的堵点、难点问题,进一步激发创新转化内在动力,全面提高成果转化效能。
人民康养:在医工转化的过程中,如何让医院和企业更好协同,避免“你干你的,我干我的”?
蒋协远:过去,许多研究是在实验室或企业完成的,但这些成果到了医院却常常用不起来。大家都觉得不合适,没法用。
在此背景下,医院通过机制激活、平台搭建、模式探索和生态协同,成为连接“医、工、企”的桥梁与引擎。具体来说:
一方面,医院将临床中遇到的实际需求,转化为清晰可量化的技术课题,为企业指明研发方向;另一方面,医院也积极推动创新技术转化为临床可用的产品,加速产业化落地。
这一模式不仅解决了长期以来“临床需求与产业化脱节”的痛点,也促进了医疗科技创新与产业升级的良性循环,为“健康中国”建设提供了重要支撑。
医工转化成果:中国首个“肩关节置换手术机器人”
人民康养:您能否举例,介绍您和咱们积水潭医院如何通过医工转化让患者受益?
蒋协远:这方面有一系列的例子。以我们团队研发的“肩关节置换机器人”为例,它能很好地说明医工结合如何直接造福患者。
随着我国步入老龄化社会,肩关节骨折(也就是“肱骨近端骨折”)发病率越来越高。这类骨折的传统复位方法是要完全切开,复位后用钢板螺钉固定。这样的手术很复杂,且耗时较长,术后长期预后欠佳。不少患者的肩关节功能活动受限影响比较大。
“肩关节置换机器人”,正是为了精准、安全地解决这一痛点而诞生。它本质上是一个“智能导航+稳定执行”的系统。
手术前,我们会为患者做受伤肩关节CT扫描,机器人系统会自动构建出肩关节的三维模型,并智能规划出精准、对软组织牵拉影响最小的肩关节基座和假体的放置路径方案。随后,通过机器人按照规划好的路径完成手术。
我们研发的这款“肩关节置换手术机器人”是国内首个该领域手术机器人产品,也是国际上第3个。
对患者而言,它使得手术风险降低,出血量减少,肩关节置换假体放置得更精准,术后肩关节功能活动明显改善。对医生而言,它降低了体力消耗和操作风险,使肩关节置换手术变得标准化、可重复。
这正是医工转化的核心价值:将临床需求转化为工程语言,再用创新技术回馈临床。
人民康养:作为顶尖骨科专家,您临床上有哪些“金点子”,通过医工转化落地,成为新骨科产品或诊疗技术,实现从临床中来,到临床中去。
蒋协远:比如,在锁骨骨折的治疗上,临床中,我常遇到一种“两难”困境。
传统的锁骨骨折手术,虽能复位,却需要在锁骨上切开一道较长伤口,剥离肌肉显露骨骼,才能放置钢板。这不仅会留下明显疤痕,还可能损伤周围组织。我从事骨科治疗工作40年,切开复位做的锁骨骨折手术,不超过5例。
另外一种是保守治疗。但保守治疗又易导致畸形愈合,影响肩部功能。于是,我就想能否像“隔空修复”一样,仅通过几个微小孔洞完成精准复位和固定?这个想法成了我推动医工结合的一个起点。
我与工程团队紧密协作,将目光投向了手术机器人。我们设想:能否让机器人成为医生的“透视眼”和“稳定手”?
具体方案如下:
1.通过术中三维影像让机器人“看清”骨折块的精确位置;
2.医生在系统上规划出最佳复位路径、螺钉植入的虚拟通道;
3.机械臂随后引导医生,经皮植入专门的复位工具,以微小力量轻柔地将错位的骨块“推”回原位;
4.在机器人导航下,通过几个仅5毫米的皮肤小孔,精准置入所有固定螺钉,全程无需切开暴露骨折区。
5.术后患者能立即开始运动,伤口极其微创,已经成为我们医院常规治疗。
从构想到落地充满挑战。如何让机械臂适应狭小的锁骨区域?如何确保经皮操作的绝对安全?我们与工程师进行了上百次模拟测试,设计了专用的夹持器械和避障算法。
上图:传统锁骨骨折手术后愈合效果

上图:机器人参与锁骨骨折手术后效果
首例手术成功实施后,患者仅留下几个几乎看不见的小点,术后疼痛轻微,三天即顺利出院。这让我们深感欣慰。
这两年,我院开展该项手术300多例,已成为我院的常规治疗方式。这个“金点子”的落地,真正实现了锁骨骨折的精准、微创、美观治疗,让患者以最小代价获得最佳康复,这是医工携手为患者带来的切实福祉。
手术机器人:专家的“超级手术伙伴”年轻医生的“教练”
人民康养:对您来说,手术机器人是助手吗?它对专家和年轻医生分别意味着什么?
蒋协远:手术机器人对于顶尖专家而言,就像一个高度智能化的“超级手术伙伴”。它在两方面发挥了不可替代的作用:
一是超越人眼的精准视野。机器人能将患者的CT数据转化为高清三维立体模型,医生可以在这个虚拟空间里从任意角度观察骨折位置,并提前规划好每一颗螺钉的理想路径、角度和深度,精度达到亚毫米级别。
二是超越人手的稳定操作。规划完成后,机器人的机械臂会按照指令,以极高的稳定性执行操作,滤除人手天然的细微颤动,尤其在高难度、需要重复精准动作时,优势极为明显。
这意味着,我们可以用更小的切口,完成更复杂、更精准的手术,比如脊柱矫形、关节置换或肿瘤切除,实现真正的微创,从而减少出血、保护组织、加快康复。
对于年轻医生的培养,机器人系统则扮演了“高端教练”和“标准制定者”的角色。
传统外科培养高度依赖“看-做-教”的模式,学习曲线长。而机器人系统将优秀专家的手术规划思路和操作标准,固化在程序中。
年轻医生可以在仿真模块上反复练习,系统会实时提供操作精度、效率等量化反馈。在真实手术中,他们也能在上级医生监督下,从操作机器人开始,安全地参与关键步骤,直观理解何为“精准操作”。这极大地加速了他们的成长,有助于培养出一代基础更扎实、技术更规范、能更快掌握高精尖手术的骨科接班人。
我在临床中发现,年轻的专家比老专家对机器人的操作更熟练。他们在学习、操作手术机器人上更有优势。
未来科技:骨软骨修复有望迈向再生新时代
人民康养:除了手术机器人等“硬核科技”,生物材料、组织工程等“软科技”在骨骼、软骨修复方面前景如何?未来,我们是否有望看到能诱导人体自身组织再生的“智能生物材料”?
蒋协远:在骨及软骨修复领域,生物材料正在实现从“惰性填充”到“诱导再生”的重要转变。其核心是仿生构建一种智能支架——它能够模拟天然细胞外基质、调控微环境并诱导组织再生。
当前,大量研究正通过材料形式及功能的创新来推动这一进程:
采用生物3D打印这样的先进制备技术,通过赋予主动调控生物学过程的能力,比如招募自体干细胞、清除炎症因子乃至直接驱动成骨及软骨关键成分生成。这样越来越接近于实现“微创、智能、高效”于一体的生物材料,正引领着骨软骨修复迈向真正的再生新时代。
“十五五”时期:积水潭医院将落地三个骨科新成果
人民康养:积水潭医院有哪些重要医工转化项目正在研发、测试,“十五五”时期有哪些可能应用到临床,惠及民生?
蒋协远:2024年4月8日,我院接到《市卫健委关于开展医学创新和成果转化改革第二批试点工作的通知》后,立即启动了项目的遴选工作。
“适用于肩关节置换的手术机器人系统”“电磁驱动髓内肢体延长系统”“骨科患者围手术期数字诊疗系统”三个项目被纳入试点,并获得首都医疗科技成果转化公益基金会共计800万元的资金捐赠。这三个项目在“十五五”期间均有望落地北京,未来将造福广大患者。
上图:肩关节置换手术机器人
第一个项目是“肩关节置换手术机器人”。
由我与北京埃斯顿医疗科技有限公司合作开发,这是国内首个肩关节机器人。它能够通过绳驱动技术、自动图像分割、健侧镜像参考、关节活动度预测等多项技术来提升手术精准度,减少对医生经验的依赖,从而降低肩关节置换手术风险和并发症率。
目前,这个项目已经完成型式检验及创新器械申报,进入临床试验阶段。
上图:骨科患者围手术期心理问题数字诊疗系统
第二个项目是“骨科患者围手术期心理问题数字诊疗系统”。
由我院原副院长、创伤骨科吴新宝教授与北京智精灵科技有限公司合作开发。该项目基于脑动极光数字疗法,融合数字化检测、诊断、干预治疗及人工智能算法等核心技术,研发出骨科围手术期“心脑体”干预数字诊疗系统,旨在提升患者的康复效果及生活质量。
目前产品开发已全部完成,预计在年内拿到型式检验报告,并准备进行二类医疗器械申报注册。

上图:电磁驱动髓内延长系统
第三个项目是“电磁驱动髓内延长系统”。
由我院小儿骨科杨征主任与北京清兰沚科技有限公司合作开发。这个项目是国内首个电磁驱动髓内针,打破了国际垄断,依托一系列自主知识产权技术,通过控制髓内永磁体旋转实现轴向延长或压缩。该项目被用于治疗肢体不等长以及病理性矮小症等疾病。
目前,项目已经完成体外控制器及髓内针的工程化开发。
积水潭模式:医工转化核心是“三元素-三循环”
人民康养:经过多年实践,积水潭医院在医工转化领域是否已形成一套“积水潭模式”?
蒋协远:经过多年探索和实践,我们逐步形成了一套以医疗需求为导向的“医工企”联合研发转化模式。其核心是“三元素-三循环”的运作机制。
首先,“三元素”指的是协同创新的三个核心主体:医院、工程研发机构和企业。医院提供临床需求和验证场景,工程研发机构包括高校、科研院所及企业研发部门等负责技术攻关与工程化,企业主导产品化、市场化和产业化。
上图:“三元素-三循环”机制
在此基础上,形成了驱动转化的“三循环”:
第一个循环是“医工研发循环”,是从真实的医疗需求出发,由医工协同研发,产品会实时反馈至临床进行检验与优化,形成临床安全可用的创新产品。
第二个循环是“工企调控循环”,是以市场需求与产业化为导向,由工程团队优化制造流程和产品,同时企业从市场角度提出改良建议,确保产品具备市场竞争力和生产可行性。
第三个循环是“医企互促循环”,是指产品通过临床应用,实现市场化推广,并由医院团队指导临床应用,制定个体化医疗方案。而这又反过来推动技术持续迭代更新,最终将基础研发成果转化为安全可靠、国际认可、容易普及的创新产品。
( 记者 李贤娜)